医院资讯

医院新闻

您的位置: 首页 > 医院资讯 > 医院新闻 > 正文

为浙江患者解决旧疾!罗湖医院骨科精准医疗扶贫有大爱~

发布日期:2021年07月09日 08:41    作者:     来源:     点击:

2021年5月的一天,一位右上肢活动障碍的中年男性患者走进了罗湖区人民医院骨科。患者姓宋,来自于浙江省金华市,他在金华市慈善会的帮助下,不远千里慕名前来,找到杜世新教授团队求医。

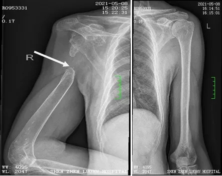
18年前,宋先生因外伤导致右侧肱骨近端骨折,在当地医院进行了手术治疗。术后右侧肱骨近端部分缺损,右上肢功能明显受损,肩关节周围肌肉明显萎缩,不能发力,仅能勉强进行简单的端碗吃饭、擦脸的动作,连基本的穿衣、梳头等都无法完成,把心爱的女儿抱在怀里对他更说更是一种奢求。

入院后,罗湖区人民医院骨科为宋先生进行了相关检查。经过X线片测量,与左侧正常肱骨对比,右侧肱骨近端缺损长达13cm。

宋先生病情复杂疑难、国内罕见。他丧失了部分劳动能力,在当地属于低保户,宋先生是家里唯一的顶梁柱、是家庭经济收入的唯一来源。

在“脱贫攻坚”的道路上,罗湖区人民医院骨科一直积极响应精准扶贫的号召,在自己的医疗专业领域不断努力,为广大贫困患者解除病痛。杜世新教授和李学东教授先后多次组织科室医生对患者病情进行讨论,以求制定最合理的手术方案,并发起了科室救助。

由于宋先生右侧肩关节周围肌肉萎缩严重,软组织条件差,经讨论决定,为其量身定制人工肩关节假体。经过充分的术前准备,杜教授为患者进行了右侧人工全肩关节置换、重建、植骨+左侧髂骨取骨术,手术过程顺利,术后恢复良好。

术后,宋先生看到自己的右侧肩关节外观变得饱满,感觉不可思议,脸上不自觉就露出开心的笑容。

出院前两天,宋先生全家唯一的一部手机出现故障,开不了机,急坏了宋先生的爱人。武文亚护士长得知这一情况后,联系到社会爱心人士。有爱心人士对宋先生一家深表同情,为其捐赠了一部手机,并资助了他们一家三口回家的火车票。

出院当天,不善言辞的宋先生让女儿小琴代笔,写了一封感谢信送给骨科杜世新教授医疗团队。

精准扶贫,任重而道远,

罗湖区人民医院骨科在医疗专业领域

将砥砺前行,不断进取!

来源:骨外科

编辑整理:罗医宣