
55岁的程先生10年前因突发腰痛就诊,B超提示“左输尿管上段结石(0.5 cm)伴左肾轻度积水”,医生建议定期复查,若结石迟迟排不出来,可考虑微创手术治疗,程先生未予以重视,工作一忙便将此事抛之脑后,后期偶有酸胀不适,考虑没有明显的疼痛,也未处理。
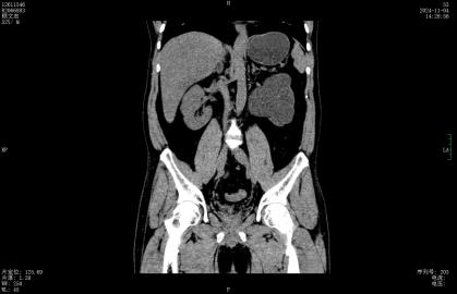
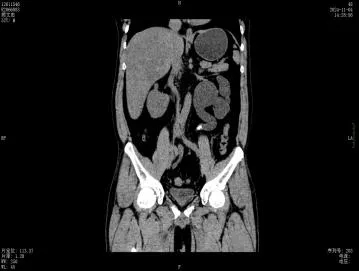
今年8月起,左腰部酸胀频繁不适,这才想起医生曾经的叮嘱,后找到深圳市罗湖区人民泌尿外科姜刚刚副主任医生门诊就诊,行CT检查发现整个左肾重度积水,而结石仍旧卡在输尿管内,最终只能无奈手术切除没有功能的左肾。



什么情况下肾结石不会痛呢?
如果结石老老实实地待在宽敞的“水池”(肾盂或肾盏)里,没有造成堵塞,尿液可以绕开它顺利流走,那么你可能就完全感觉不到它的存在。或者,结石长期堵塞已经让肾脏功能严重受损甚至“报废”,肾脏已经不工作、不产生尿液了,没有压力,自然也就不会疼痛了。
所以,不痛≠没事。沉默,往往意味着更大的阴谋。当上尿路结石位于肾脏或嵌顿在输尿管时,其处于静止稳定状态,这类结石就表现为无症状,或腰背部轻度的胀痛,常因体检发现。这类结石常常容易受到大家的忽视,但其可能对患者的健康威胁更大。
不痛的结石危害表现
01.偷偷“淹死”你的肾
肾积水就像水管堵塞会导致水池溢水一样,结石堵塞了尿路,尿液排不出去就会回流,导致肾脏被越撑越大,这就是“肾积水”。长期的积水会像泡在水里一样,压迫并损坏肾脏的实质细胞,导致肾功能永久性丧失。
02.让肾脏“中毒”衰竭
感染和脓肾淤积的尿液是细菌滋生的完美温床。一旦继发感染,就会引发高烧、寒战,甚至发展成“脓肾”(肾脏里全是脓液)。这不仅会加速肾功能破坏,严重时感染扩散至全身,会引发尿源性脓毒血症,这是一种死亡率极高的危急重症。
03.沉默的“癌变”催化剂
长期存在的结石,尤其是大的鹿角形结石,其慢性刺激会增加肾脏黏膜发生癌变的风险。等到因为癌变出现症状时,往往为时已晚。
罗湖区人民泌尿外科
姜刚刚副主任医师提醒
NO.1定期体检是关键!
无论疼不疼,每年做一次泌尿系统B超是发现“沉默结石”最简单、经济且有效的方法。这是对自己健康最基本的负责。这些症状也是警报!
除了剧痛,反复出现的轻微腰酸腹胀、肉眼看不见的镜下血尿(体检尿常规可发现)、不明原因的反复发烧,都可能是沉默结石发出的微弱信号,务必警惕。
NO.2多喝水是最好的预防!
保证每天饮水量(白开水)在2000ml以上,保持尿液清亮淡黄。多喝水、多排尿,可以有效稀释尿液中形成结石的物质,是预防结石形成最廉价且最有效的方法。
总结一句话
痛的结石是“明枪”,虽然难受但易躲;不痛的结石是“暗箭”,沉默无声才最致命。请不要忽视身体里的任何一颗“沉默的石头”,定期检查,防患于未然,保护好我们宝贵的肾脏!
泌尿外科介绍
深圳大学第三附属医院泌尿外科(暨罗湖医院集团罗湖区人民医院泌尿外科)是集医、教、研、防于一体的综合性泌尿外科研究中心,同时也是广东省临床重点专科、深圳市临床重点专科,并担任深圳市泌尿外科诊疗质量控制中心牵头单位。
科室由临床和基础研究两部分组成。临床部分设有两个病房,共计66张病床。门诊部分设有普通门诊、专家门诊、MDT联合专家门诊,以及结石、肿瘤、前列腺疾病、女性及小儿泌尿、肾上腺疾病、尿失禁、男科、泌尿专科护理等特色专科门诊。
科室拥有独立的门诊手术室,并配备碎石治疗室、排石室、膀胱镜室、B超室、尿动力学检查室、盆底中心治疗室等完善的诊疗设施。基础研究部分拥有2000平方米的实验场地,配备10台大型设备(单价50万元以上)和200余台中小型设备,设有病理、化学、生化、免疫、分子生物学、男科学、盆底重建组织工程等实验室。
科室科研成果丰硕,曾获国家科技进步二等奖,承担并完成国家自然科学基金项目30余项,发表SCI论文300余篇。
科室现有医护及科研人员118人,其中高级职称12人、中级职称60人、初级职称46人。拥有博士生导师3人、硕士生导师3人,形成了结构合理的人才梯队。
在泌尿系肿瘤微创及精准诊疗领域,科室配备了Da Vinci Xi手术机器人、4D成像系统、神经标志软件系统、3D高清腹腔镜等世界顶级医疗设备,全面开展微创技术。目前,90%以上的住院手术患者通过微创技术治疗,其中99%的前列腺增生患者接受经尿道手术,98%以上的泌尿系统结石患者通过腔镜和体外冲击波碎石治疗。对于肾上腺肿瘤、肾肿瘤、肾盂及输尿管肿瘤,腹腔镜手术已全面取代传统开放手术,在精准切除肿瘤的同时最大限度地保留脏器功能。科室还率先开展了肾癌合并IV级癌栓患者的肾癌根治性肾切除术联合右心房及下腔静脉癌栓取出术、腹膜后巨大肿瘤切除术等高难度手术。
在盆底、女性及小儿泌尿外科领域,科室在泌尿外科修复方面处于国内领先水平,常规开展膀胱起搏器植入、盆底脏器脱垂修复手术、全程输尿管重建、全尿道缺损失重建、小儿先天性畸形矫正、保留控尿功能的尿道癌根治性切除、复杂瘘道修复及盆底巨大恶性肿瘤根治性全盆清扫术等特色手术。科室与美国克利夫兰医学中心、德国洪堡大学盆底中心保持长期学术交流,诊疗水平与国际接轨。
在男科领域,科室与罗湖医院集团生殖中心联合创建男性生殖中心,并与全球男科排名第一的Lyndon B. Johnson综合医院建立永久合作关系。科室开展显微镜取精、保留及恢复生殖功能的系列微创手术,同时开展男性真性尿失禁人工括约肌置入、男性起搏器置入等先进技术,为男性患者提供全方位的诊疗服务。
科室始终坚持以患者为中心,以技术创新为驱动,致力于为患者提供高质量、个性化的诊疗服务,在泌尿外科领域保持着领先地位。
作者:姜刚刚
审核修订:张恩溥、黄桂晓
图片来源:泌尿外科